Vacuna de AstraZeneca: ¿puede haber riesgo de trombosis?
Vacuna de AstraZeneca: ¿puede haber riesgo de trombosis?
T13 En Vivo
Por razones de seguridad, la vacunación con el preparado de AstraZeneca ha sido suspendida en Alemania hasta nuevo aviso. La decisión estuvo clara este lunes para el ministro alemán de Salud, Jens Spahn. Se habían producido siete casos de una trombosis poco usual, en un corto lapso posterior a la vacunación con las dosis de ese laboratorio. Los casos fueron reportados al Instituto Paul Ehrlich (PEI), que controla la investigación y regulación médica en el país. Tres de esos casos fueron mortales.
Esto es lo que se sabe hasta este martes 16 de marzo de 2021 sobre lo sucedido en Alemania y algunos otros países de Europa que han suspendido la administración de esta vacuna por una treintena de casos de trombosis en total:
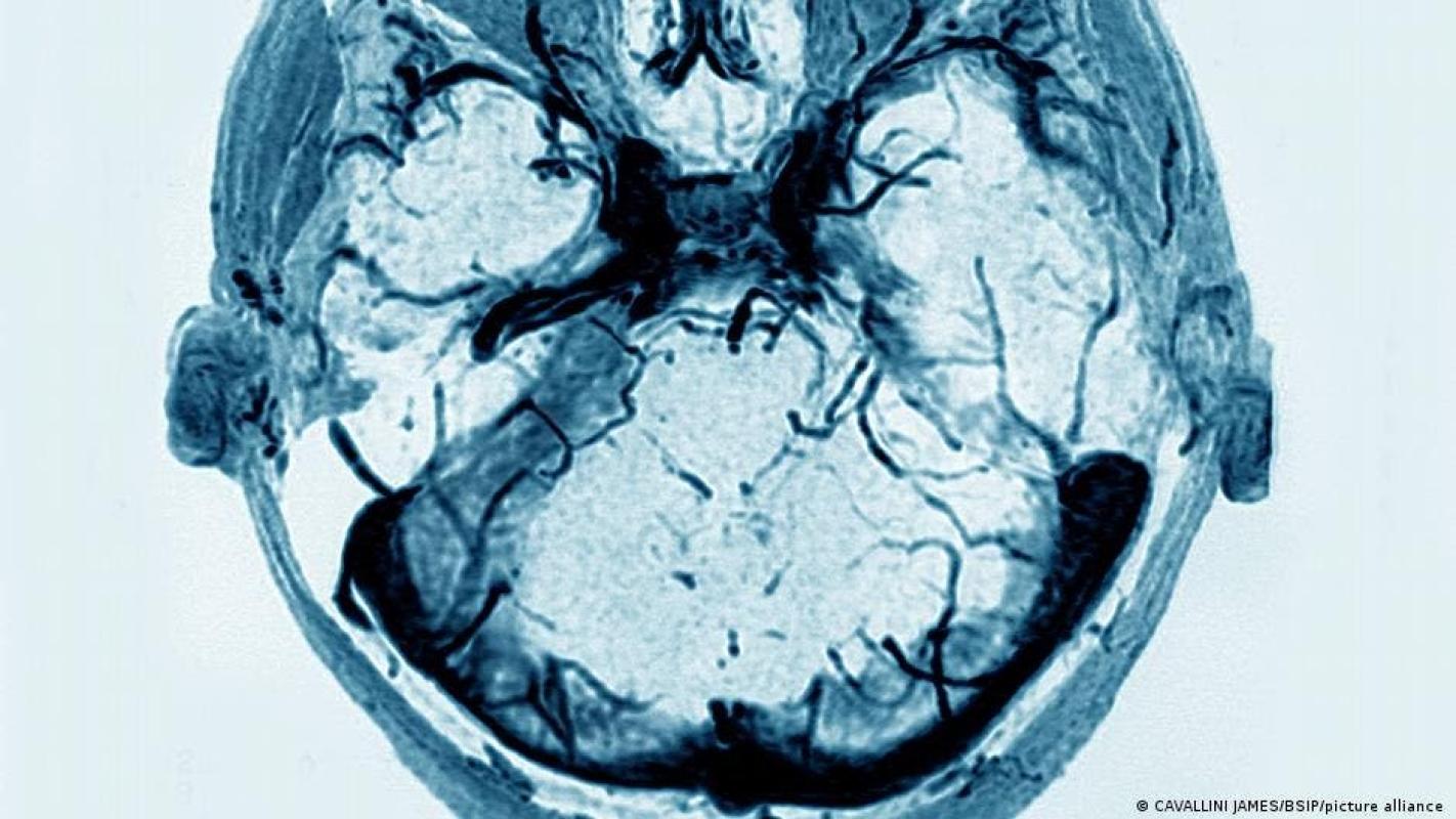
Trombosis cerebral: ¿qué se observó exactamente?
En 1,6 millones de dosis de la vacuna de AstraZeneca se produjeron siete casos de trombosis de senos venosos. Al mismo tiempo, se constató en las personas afectadas una escasez de plaquetas (o trombocitos) en la sangre. Estas tienen un papel en la hemostasia, el mecanismo que pone en marcha el organismo para detener los procesos hemorrágicos.
En la trombosis de senos venosos, un coágulo tapa las venas del cerebro, a través de las cuales, normalmente, la sangre pobre en oxígeno puede circular hacia el corazón. Pero, si la sangre no fluye como debiera, la presión cerebral aumenta, y se pueden producir hemorragias en el cerebro. En el peor de los casos, una trombosis de senos venosos provoca una embolia cerebral (o accidente cerebrovascular), que puede ser mortal.
Sin embargo, ese tipo de trombosis de senos venosos es poco usual, teniendo en cuenta su incidencia: de 1 millón de personas, 2 hasta 5 sufren una trombosis de senos venosos al año. Pero hay nuevos estudios que indican un número mayor de personas afectadas, sin vacuna: hasta 15,7 casos en un millón de personas por año, de acuerdo con una investigación australiana, explica a DW Paul Hunter, profesor de Medicina de la Universidad de Anglia del Este (UEA), en el Reino Unido. "Eso significaría que la incidencia actual se subestima entre cuatro y ocho veces".
¿Son todas las trombosis todas iguales?
La discusiones aumentan desde que el ministro de Salud, Jens Spahn, anunció la pausa de vacunación. Un linchamiento digital se desató especialmente en las redes sociales: ¿por qué se sigue recetando la píldora en Europa, si se producen 1.100 casos de trombosis entre 1 millón de mujeres que la toman? ¿Y por qué se tira por la borda toda la estrategia de vacunación debido a siete casos de trombosis en 1,6 millones de dosis de vacunación?
Karl Lauterbach, experto en salud del Partido Socialdemócrata de Alemania (SPD), criticó esta comparación en una entrevista con la emisora Deutschlandfunk. Una trombosis de seno venoso no es comparable en severidad con las trombosis que pueden producir algunos anticonceptivos, argumentó el virólogo alemán.
Cuando se menciona una trombosis en relación con la píldora anticonceptiva, generalmente se trata de trombosis de las venas de la pierna. Los coágulos de sangre bloquean las venas de las extremidades inferiores y, si esos coágulos se sueltan, pueden viajar a los pulmones y desencadenar una embolia pulmonar.
Pero tomar la píldora también favorece el desarrollo de la trombosis más peligrosa de los senos venosos. "Las mujeres se ven afectadas con más frecuencia que los hombres, y las hormonas probablemente desempeñan un papel. Vemos trombosis de senos venosos con mayor frecuencia al final del embarazo, en el puerperio, y en mujeres que toman píldoras anticonceptivas", asegura a DW Peter Berlit, secretario general de la Sociedad Alemana de Neurología. Independientemente del género, las personas más jóvenes generalmente se ven más afectadas que las personas mayores.
Suspensión temporal de vacunación con AstraZeneca: ¿es justificada?
Naturalmente, la decisión del ministro alemán de Salud de suspender temporalmente la vacunación con el preparado de AstraZeneca no fue tomada porque sí. Se remite a la recomendación que hizo el Instituto Paul Ehrlich (PEI), que controla las vacunas y medicamentos en Alemania. Este "recomienda, tras intensas consultas sobre los graves eventos trombóticos que se han producido en Alemania y Europa, la suspensión temporal de las vacunaciones con la vacuna contra COVID-19 de AstraZeneca", se lee en un comunicado de prensa.
El virólogo Lauterbach dijo en su entrevista con Deutschlandfunk que considera bastante probable una conexión entre la vacuna y estos casos de trombosis. Sin embargo, en su opinión, eso no es motivo suficiente para suspender la vacunación: "Yo no habría tomado esa decisión con los mismos datos", aseguró.
No obstante, el profesor Berlit, docente de la Universidad de Duisburgo, piensa que "por el momento, desde el punto de vista puramente estadístico, hay más en contra de que haya una relación con las vacunas que a favor de eso". El número actual de casos de trombosis de senos venosos todavía se ubica en el nivel de la incidencia conocida de esos casos de trombosis, sin vacunación de por medio, explica.
En esa comparación, sigue habiendo, sin embargo, un problema: por lo general, los especialistas en estadísticas toman en cuenta las trombosis de senos venosos a lo largo de un año. Sin embargo, los casos relacionados con las vacunas se produjeron solo a partir de febrero de 2021.
Pero el profesor Berlit tiene una explicación para eso: "Se sabe que también las trombosis de senos venosos se producen frecuentemente en el contexto de enfermedades infecciosas. Por supuesto que en época de cambio de estación, en primavera u otoño, se producen más infecciones, y por eso también hay más casos de trombosis de senos venosos”, aclara.
Los investigadores han estado observando durante algún tiempo que, por ejemplo, las infecciones por COVID-19 también conducen a trombosis con más frecuencia. Eso probablemente se deba al hecho de que nuestro sistema inmunológico regula al alza cierto mecanismo de defensa para enfrentar el COVID-19, que influye en la coagulación de la sangre y, por lo tanto, puede provocar más trombosis.
La estrategia de vacunación: ¿qué decisión es la correcta?
Con todo, Berlit considera especulativas las suposiciones sobre el hecho de que los ingredientes activos de las vacunas podrían desencadenar una trombosis como lo puede hacer el COVID-19: "Todo eso es hipotético. Hasta ahora no hay indicios de ello. Esta acumulación de casos hasta ahora solo afecta a Alemania en esa forma, y no a Inglaterra, por ejemplo", indica.
Los británicos no se han dejado impresionar demasiado por lo sucedido: allí se continúa vacunando. De los 11 millones de dosis administradas, se ha informado que solo tres personas tuvieron trombosis de senos venosos.
"Por supuesto, esa posible conexión debe investigarse en más detalle. Sin embargo, también debemos considerar el daño real que representa el retraso en la vacunación que amenaza a Europa, frente al aumento de las tasas de contagio", indicó el profesor Hunter, de la Universidad de Anglia del Este.
La Agencia Europea de Medicamentos (EMA) está investigando actualmente los casos notificados. Sin embargo, tampoco ve ninguna razón para hacer una pausa en la vacunación con AstraZeneca. "Mientras nuestras investigaciones están en curso, seguimos sosteniendo nuestra evaluación de que los beneficios de la vacuna de AstraZeneca para la contención del COVID-19 y los riesgos asociados a esa enfermedad pesan más que los efectos secundarios", dijo la EMA en un comunicado de prensa.
Se esperan resultados en las próximas dos semanas. "Si es correcto o no dejar de distribuir la vacuna por completo durante un tiempo es más bien una discusión política", piensa Berlit. "Creo que el riesgo de complicaciones neurológicas graves por una infección con COVID-19 es estadísticamente más alto que el riesgo por la vacunación. En realidad, todos los datos hablan a favor de eso".
¿Con qué deben tener cuidado las personas vacunadas?
Según Berlit, cualquier persona que ya pueda ser vacunada con AstraZeneca debe estar atenta a los siguientes síntomas: "Las personas que tienen dolores de cabeza persistentes y muy severos dentro de las primeras dos a tres semanas tras la vacunación deben acudir al médico de inmediato para esclarecer el motivo". Las hemorragias puntiformes en la piel, sumadas al dolor de cabeza, también pueden ser un indicio de trombosis de senos venosos.
Pero, en principio, dice Berlit, nadie debería preocuparse por tener dolores de cabeza dos horas por día luego de ser vacunado. Especialmente, no con las condiciones climáticas cambiantes actuales.
