Hombre fue al doctor por insoportables dolores de cabeza y descubrió que tenía larvas en su cerebro
Hombre tenía larvas en su cerebro - BBC
T13 En Vivo
Los fuertes e inexplicables dolores de cabeza de un paciente estadounidense concluyeron en la presencia de larvas en su cerebro. Los médicos llegaron a la raíz de su malestar tras realizarle varios exámenes.
Esta es la historia de un hombre de 52 años, que visitó a su doctor en Florida porque sus medicamentos contra las migrañas dejaron de hacerle efecto, a la vez que los dolores se fueron intensificando.
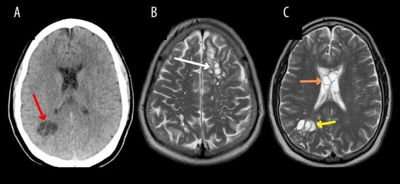
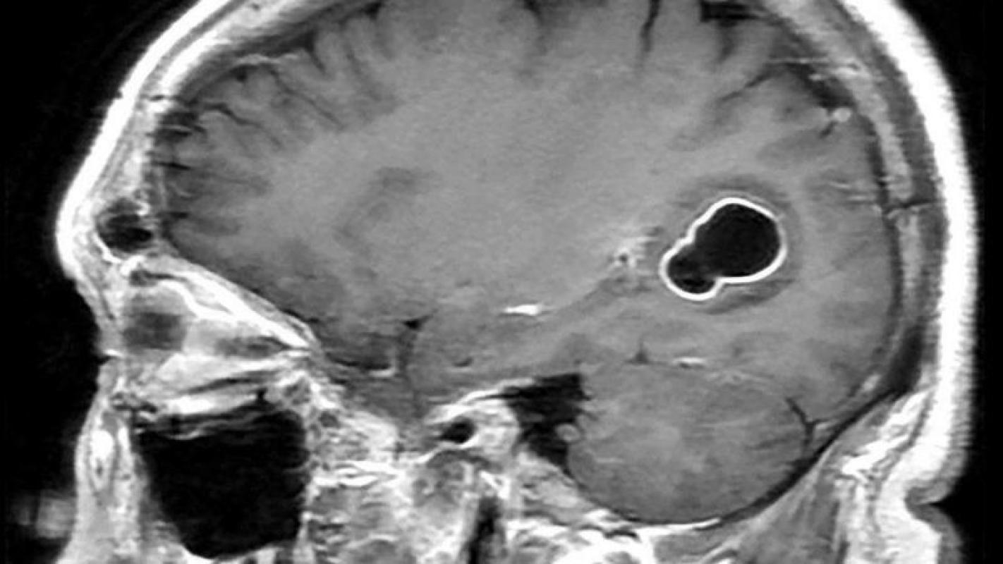
Bajo ese contexto, y al no entender por qué le dolía tanto la cabeza, los médicos decidieron realizarle varias tomografías, en las que se veían varios quistes en el cerebro. Sin embargo, con estudios posteriores, comprobaron que en verdad tenía larvas, las cuales causan una infección llamada neurocisticercosis.
Según BBC, esta infección es causada por las larvas del parásito Taenia Solium (T.solium) también conocido como "tenia del cerdo". Asimismo, informa que los doctores creen que el paciente se contagió al consumir carne de cerdo mal cocinada, que derivó, en primer lugar, a una tenia intestinal.
Paciente tenía larvas en su cerebro
De igual forma, BBC advierte que comer carne de cerdo poco cocida no provoca directamente neurocisticercosis, sino más bien es a través de todo un proceso que involucra, incluso, el lavado de manos.
Los médicos tratantes suponen que el paciente se contagio primero de la tenia intestinal y luego, al no lavarse bien las manos, "ingirió los huevos que la tenia de su intestino había excretado en sus heces", causando la neurocistercosis, pero todo queda en una especulación.
Afortunadamente, el hombre se recuperó por completo al seguir un estricto tratamiento con medicamentos antiparasitarios y antiinflamatorios.

