Neurocientíficos detectan células “zombies” que aumentan su actividad después de la muerte
Neurocientíficos detectan células “zombies” que aumentan su actividad después de la muerte
T13 En Vivo
El sentido común nos hace pensar que una vez que morimos todas las funciones de nuestro cuerpo paran, pero un grupo de científicos detectó un grupo de células cerebrales que incrementa notablemente su funcionamiento luego de que morimos.
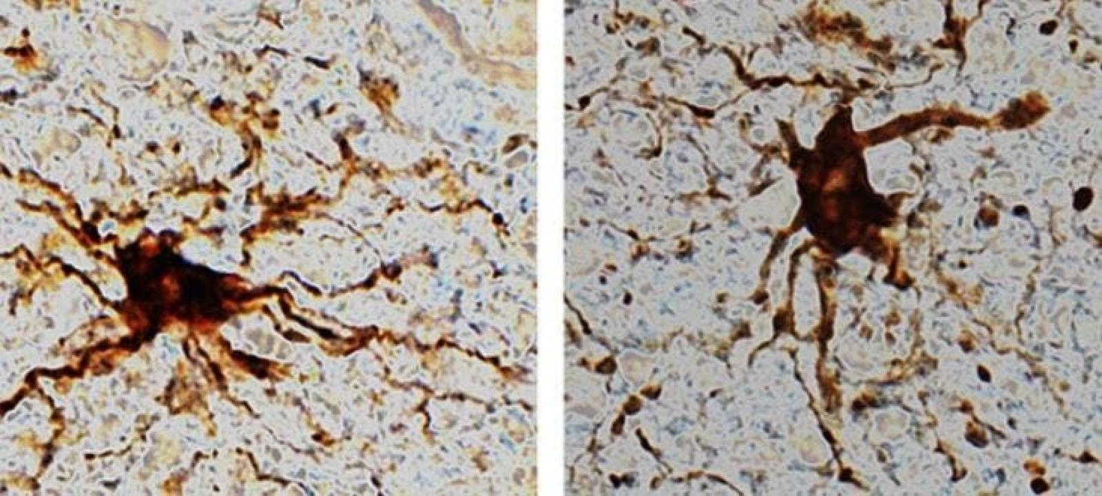
Estas células 'zombies' aumentan su expresión genética y continúan haciendo su trabajo, sin que nada les diga que ya no son necesarias. Se trata de las llamadas “células gliales”, las que se alimentan de desechos y actúan en casos de derrames cerebrales o lesiones.
El neurólogo Jeffrey Loeb de la Universidad de Illinois y sus colegas observaron cómo estas células obstinadamente brotaban nuevos tentáculos y se ocupaban de las tareas del hogar durante horas después de la muerte.
"Nuestros hallazgos serán necesarios para interpretar la investigación sobre los tejidos del cerebro humano. Simplemente no hemos cuantificado estos cambios hasta ahora", dice el investigador.
Varias investigaciones sobre trastornos cerebrales como el autismo, el Alzheimer y la esquizofrenia se realizan en personas fallecidas. Realizando procedimientos parecidos descubrieron cambios en la actividad específica de las células a lo largo del tiempo desde la muerte, a temperatura ambiente.
La mayor parte de la actividad genética se mantuvo estable durante las 24 horas que el equipo documentó, las células neuronales y su actividad genética se agotaron rápidamente. Sin embargo, lo más notable es que las células gliales aumentaron la expresión y los procesos génicos.
"Que las células gliales se agranden después de la muerte no es demasiado sorprendente dado que son inflamatorias y su trabajo es limpiar las cosas después de lesiones cerebrales como la falta de oxígeno o un derrame cerebral", dijo Loeb.
Después de 24 horas, estas células también sucumbieron y ya no se podían distinguir del tejido degradado que las rodeaba.
Los resultados de la investigación fueron publicados en la revista Scientific Reports.

