Cómo es vivir con el síndrome de Cotard, el trastorno en que las personas creen que ya no existen
Cómo es vivir con el síndrome de Cotard, el trastorno en que las personas creen que ya no existen
T13 En Vivo
"Es un momento de absoluta oscuridad. Pensé que había muerto".
Al recuperarse de un serio accidente de motocicleta Warren McKinley empezó a pensar que ya no existía. El soldado británico dejó de comer; pensó que YA era necesario.
"Los terapeutas trataban de hablarme pero yo les decía: ´¿Qué sentido tiene tratar de recuperarme si estoy muerto?´".
Warren, de 36 años, padecía el síndrome de Cotard, una condición psiquiátrica que ha afectado a más de 100 personas en todo el mundo desde que fue descrita por primera vez por el neurólogo francés Jules Cotard en 1880.
Las personas que sufren de este síndrome creen que están muertas o que sus órganos han desaparecido o se están pudriendo.
Ha habido casos reportados en países que incluyen a China, India, México, Estados Unidos, Dinamarca y Suecia.
El delirio se presenta de diversas formas.
El dueño de un restaurante en México fue hospitalizado luego de decirle a su familia que su pene se había acortado hasta desaparecer. Una vez internado le dijo a los médicos que no tenía ojos, asegurando que habían sido removidos por un doctor en la sala de emergencias.
El hombre aseguró que el mismo médico también le había quitado el corazón e insistió en que su mano izquierda estaba muerta.
En Portugal, una jubilada que había perdido repentinamente a su marido comenzó a desconfiar de su heladera. La mujer de 66 años empezó a dejar de comer, asegurando que su esófago y su estómago estaban pegados.
Fue hospitalizada tras perder 19 kilos.
Una ama de casa de 28 años en Cachemira llegó al hospital quejándose de que su hígado se estaba pudriendo y su corazón estaba "totalmente ausente".
También dijo que le faltaba su estómago y que cuando caminaba no sentía su cuerpo.
Y en Reino Unido una mujer de 59 años fue internada tras asegurar que era un cadáver que se pudría y que sus piernas se estaban cayendo.
"No tenía sentimientos"
Warren cree que en su caso sus delirios surgieron por la forma en la que pensaba sobre su accidente de motocicleta.
Estaba regresando a su casa luego de un entrenamiento con el Ejército Británico y lo estaban por mandar a Afganistán cuando chocó contra un árbol yendo a 100 kilómetros por hora. Se rompió la pelvis y su espalda y sufrió daños cerebrales.
"No recuerdo nada, ni golpear contra el árbol ni tener huesos rotos. Dudaba de mí mismo, pensaba que tendría que recordarlo y sentir dolor pero no lo hacía", dice.
"No tenía sentimientos. Era difícil que algo me importara. Mi hija nació durante esa época y fui a las ecografías pero no recuerdo ninguna", afirma.
La falta de memoria lo llevó a pensar que había muerto en el accidente.
Muchos meses después fue internado en Headley Court, un hospital militar en el sur de Inglaterra. Cuenta que el hospital era como su "sala de espera fantasmal".
"Hombres y mujeres aparecían en el hospital con heridas espantosas e historias de muerte en las zonas de guerra y eso intensificó mi creencia de que estaba en algún tipo de vida más allá de la muerte", dice Warren.
Los médicos le preguntaban: si realmente había muerto, ¿por qué elegiría estar en ese hospital, hablando con ellos, en vez de ir a algún lugar donde quisiera estar?
"Creía que era un castigo", responde.
El daño cerebral es una de las condiciones vinculadas al síndrome de Cotard. Otras incluyen la depresión severa y la esquizofrenia, afirma Helen Chiu, profesora de psiquiatría en la Universidad China de Hong Kong.
El síndrome también ha sido asociado a la enfermedad de Parkinson, la fiebre tifoidea, la migraña, las complicaciones derivadas del trasplante de corazón, la esclerosis múltiple y el uso del antiviral aciclovir.
"Además de razones biológicas, los factores psicológicos o sociales suelen ser relevantes", señala la profesora Chiu.
"El tipo de enfermedad psiquiátrica que padece el paciente, su personalidad antes de sufrir el síndrome, las circunstancias familiares, sociales y financieras y los eventos de su vida moldearán el contenido del delirio", afirma.
Este puede durar semanas o incluso años. Aunque el síndrome suele presentarse en personas mayores, ha habido casos en adolescentes y niños.
No hay una única cosa que cause el síndrome de Cotard. Mucha de la literatura científica está basada en estudios de casos individuales debido a que se trata de una enfermedad rara.
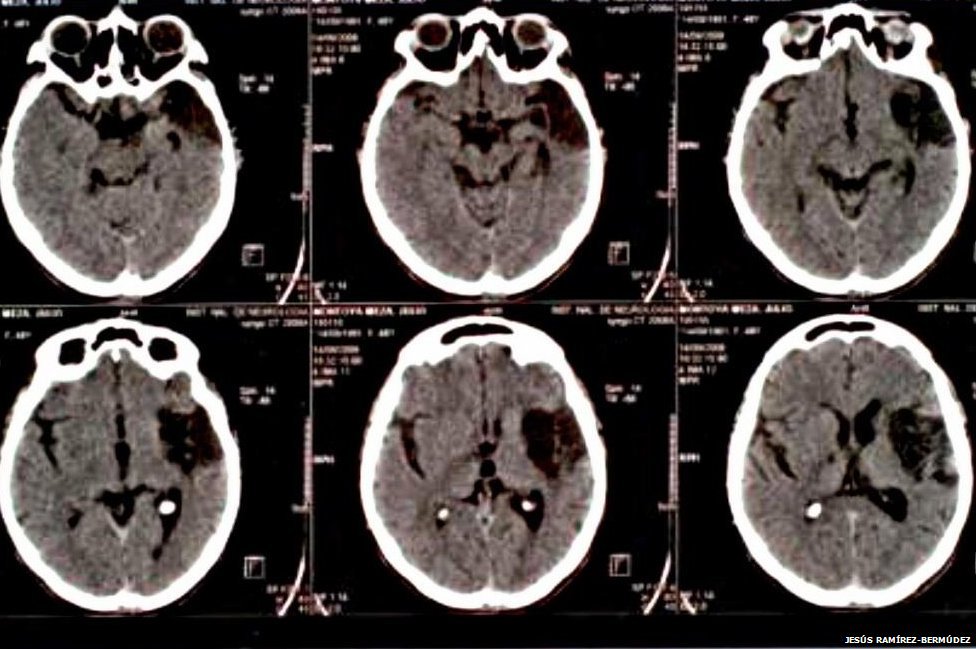
Un estudio realizado en 2010 por el Instituto Nacional de Neurología y Neurocirugía de México halló que el síndrome suele ser el resultado de dos factores que se combinan.
Los pacientes pueden pasar por una experiencia inusual -como el accidente de Warren- que les genera una sensación de vacío. Esto se combina con una deficiente capacidad para determinar en qué creer y una tendencia culposa de mirar hacia adentro, lo que resulta en Cotard, según la investigación.
Los indicios neurológicos incluyen un índice metabólico muy bajo en regiones del cerebro responsables de la introspección, el achicamiento o aumento del cerebro y el daño a la parte del cerebro que está detrás de la frente, que controla los pensamientos, el razonamiento y el comportamiento.
Warren afirma que conocer a otro paciente con Cotard lo ayudó a recuperarse y cuenta que tras volver a su casa con su familia lentamente comenzó a mejorar.
"Suena bastante inapropiado pero ahora cuando lo pienso me río", confiesa.





