La escalofriante imagen que sale a luz sobre la lesión de Luciano Sánchez provocada por Marcelo en Copa Libertadores
Luciano Sánchez - Créditos: TWITTER
El mundo del fútbol se paralizó hace unos días debido a las escalofriantes imágenes que llegaron desde la Copa Libertadores 2023 con la lesión de Luciano Sánchez, quien fue víctima de una accidentada falta por parte de Marcelo.
Todo ocurrió en el encuentro entre Argentinos Juniors y Fluminense por los octavos de final del torneo internacional. De entrada en el segundo tiempo, Sánchez fue pisado por el histórico defensor brasileño. Esto último le provocó una ruptura total de la rodilla.
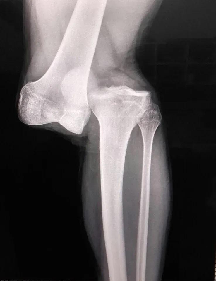
Tras el encuentro, el médico y secretario general del elenco trasandino afirmó que "en 23 años como médico nunca vi una lesión así. Es casi una separación del fémur y el peroné. Hay rotura de cruzado, anterior, posterior… Hay que hacer una reconstrucción".
Por su parte, el propio futbolista argentino rompió el silencio por lo ocurrido en el Estadio Diego Armando Maradona: "Fue bastante doloroso, pero por suerte me pudieron corregir la rodilla al momento y eso me alivio mucho. La noche la pasé tranquilo, inmovilizado y sin dolor. Ahora, vamos a casa a esperar que baje la hinchazón, hacer un par de estudios más y determinar cuando operamos".
El propio cuerpo médico del club señaló que Luciano Sánchez deberá someterse a una recuperación de, cómo mínimo, 10 a 12 meses. Solo para recién empezar a pensar en volver a las canchas de fútbol. Un balde de agua fría que en las últimas horas sumó una impactante imagen de la radiografía del jugador.

