Por qué el cuidado de las encías es mucho más importante de lo que te imaginas
Por qué el cuidado de las encías es mucho más importante de lo que te imaginas
T13 En Vivo
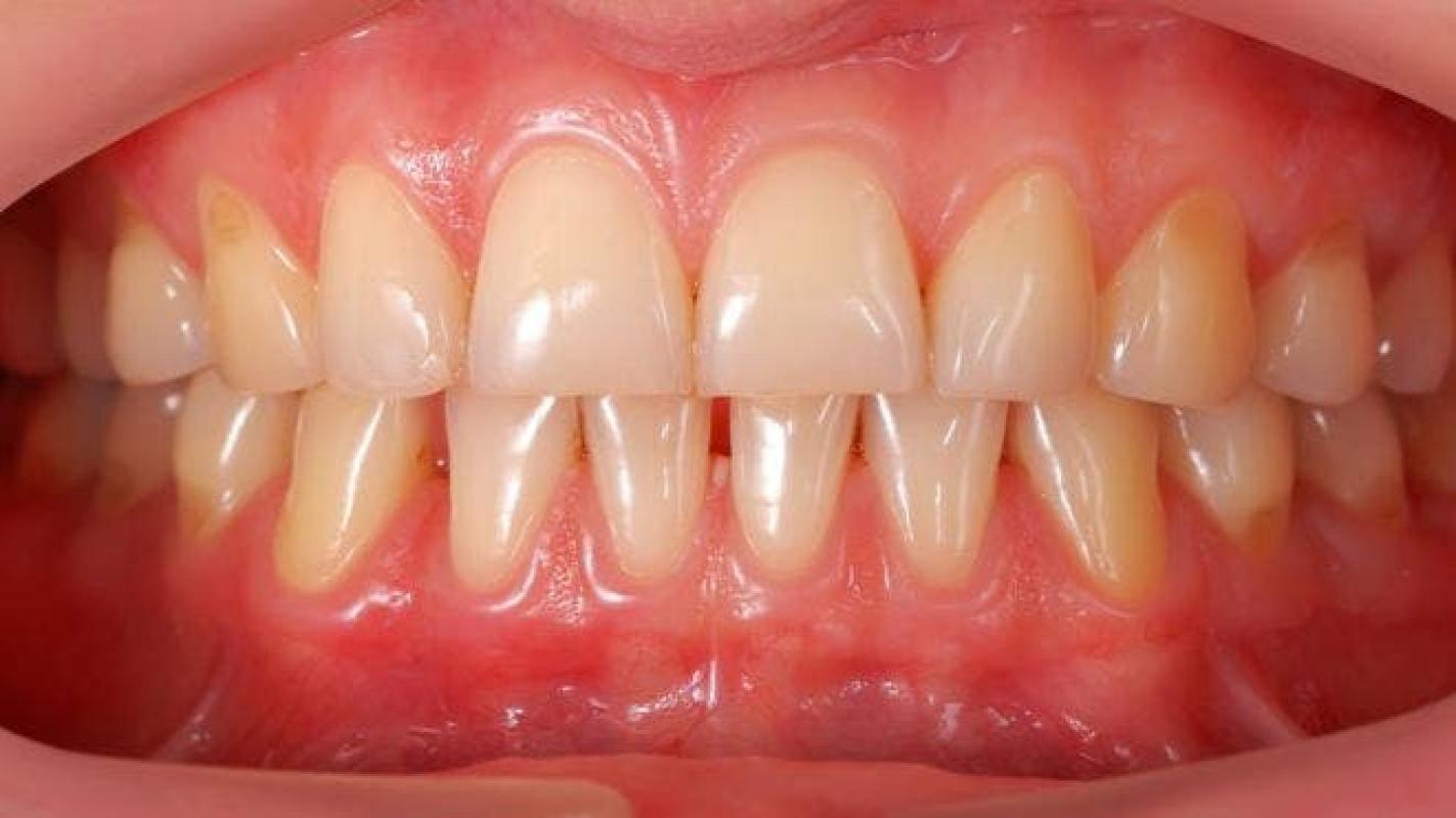
El nombre oficial de la inflamación en las encías es enfermedad periodontal.
Y es la principal causa de la pérdida de dientes en los adultos, según la Federación Europea de Periodoncia y diversas organizaciones especializadas en el tema.
El daño que puede ocasionar en la boca varía, puede quedarse en una molesta hinchazón o puede complicarse y,
graves.
Las otras enfermedades
El padecimiento del periodonto comienza con la inflamación de las encías, lo que se conoce como gingivitis. La causa es la acumulación del sarro. Si no se trata, se pasa a la siguiente etapa, la periodontitis.
Los principales síntomas son las encías hinchadas o sangrantes, aparición de pus, recesión de la encía y dolor.
La Academia Americana de Periodoncia indica que "varios estudios han demostrado que la enfermedad periodontal incrementa el riesgo de sufrir de padecimientos cardíacos y que puede exacerbar condiciones preexistentes en esa área".
Una investigación publicada en la revista Medicina Preventiva Americana descubrió que las personas que, además de sufrir de enfermedad periodontal, tenían condiciones cardiovasculares y habían sido tratadas por la inflamación de las encías, necesitaron menos hospitalizaciones.
La Academia Americana de Periodoncia también señala que otrasinvestigaciones han revelado la relación entre los derrames cerebrales, la osteoporosis, las enfermedades respiratorias y la inflamación grave de las encías.
Según un estudio que apareció hace pocos meses en la publicación de la Asociación Médica Americana, la presencia de una bacteria asociada con la periodontitis (Porphyromonas gingivalis) en la boca de una persona, aumentaba en 59% la posibilidad de sufrir de cáncer de páncreas.
La Escuela de Medicina de la Universidad de Harvard, en Massachusetts, Estados Unidos, también se refiere a la relación entre la periodontitis y la diabetes.
Thomas Van Dyke, director del Departamento de Ciencias Aplicadas del Instituto Forsyth, asociado con Harvard, afirma que hay investigaciones que demuestran que el tratamiento exitoso de la enfermedad periodontal disminuye la severidad de la diabetes.
---------------------------------------------
CÓMO PREVENIR INFECCIONES BACTERIANAS Y REDUCIR LA INFLAMACIÓN
- Tratar la inflamación apenas se presenten los primeros síntomas.
- Cambios sutiles como un aumento en el espacio entre dientes o dentaduras parciales que resultan incómodas también pueden ser una señal.
- Cepillarse los dientes al menos dos veces al día con una pasta que tenga flúor y pasarse el hilo dental antes de acostarse.
- Visitar al odontólogo regularmente para someterse a revisiones y limpiezas profesionales.
- No fumar y mantener una dieta balanceada.
Fuente: Instituto Nacional de Investigación Dental y Cráneofacial, EE.UU.
Creencias erradas
La boca alberga un complejo ecosistema de bacterias que compiten por espacio.
"Las encías están protegidas contra la bacteria que las enferma cuando las especies bacterianas están en equilibrio. Al alterarlo, una invasión de agentes patógenos ocasiona la enfermedad periodontal", según la Escuela de Medicina de la Universidad de Harvard.
Durante mucho tiempo se pensó que eran las bacterias las que destruían el tejido en las encías y las que vinculaban a la enfermedad periodontal con otros padecimientos, pero estudios recientes revelan que no es el caso.
"La inflamación causada por la bacteria es la que daña el tejido y la responsable por la asociación. Por lo tanto, al tratar la hinchazón, no sólo se controla el daño en la boca, sino que también se ayuda al control de las otras condiciones médicas", indica el sitio web de la Academia Americana de Periodoncia.


